| TIN LIÊN QUAN | |
| May mắn thoát chết nhờ... Apple Watch | |
| Bí quyết thành công của ngành cấy ghép nội tạng Tây Ban Nha | |
ThS.BS. Nguyễn Lê Nhật Minh, Trưởng khoa Nội soi chẩn đoán và can thiệp, Bệnh viện Phổi Trung ương đã phối hợp cùng đồng nghiệp, kíp trực can thiệp kịp thời bệnh nhân nhập viện là cụ ông 90 tuổi ở Thái Bình, đi làm răng giả, bị sự cố rơi mất răng giả.
Người bệnh đã được nội soi dạ dày tại Bệnh viện đa khoa tỉnh Thái Bình để tìm dị vật nhưng không thấy; được chụp phim X-quang phổi và phát hiện ra dị vật trong đường thở. Do vượt quá khả năng can thiệp nên người bệnh được chuyển cấp cứu lên Bệnh viện Phổi Trung ương.
![]() |
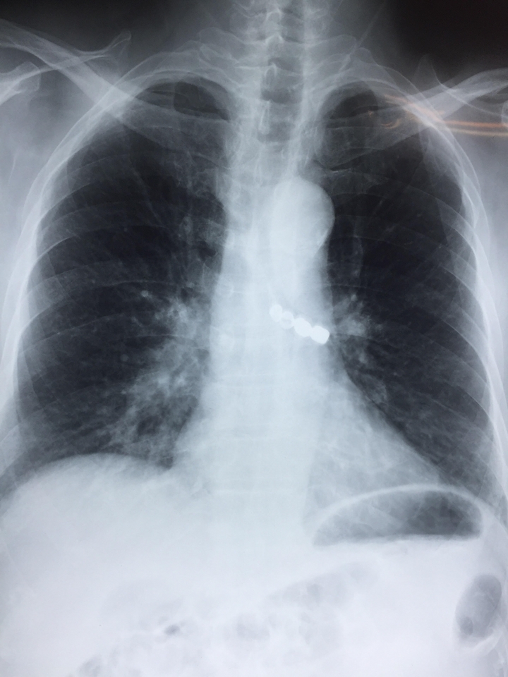
| Phim X Quang chụp dị vật bị mắc tại đường thở. (Nguồn: BV Phổi Trung ương) |
Người bệnh được nhập viện vào lúc 11h45 ngày 23/9 trong tình trạng ho nhiều, khó thở. Các bác sĩ của Bệnh viện Phổi Trung ương đã khẩn trương tiến hành hội chẩn và quyết định nội soi phế quản cấp cứu để gắp dị vật khí quản, giải phóng tắc nghẽn đường thở, nhằm cứu sống người bệnh.
Người bệnh đã nhanh chóng được gắp thành công dị vật ra khỏi phế quản, giải phóng đường thở. Dị vật này là 1 cầu răng sứ 4 răng hàm dài 3,5cm đã bị rơi vào khí phế quản trong quá trình lắp răng giả cho người bệnh.
Cụ ông 90 tuổi đã ngay lập tức cảm thấy dễ chịu, dễ thở hơn sau khi được gắp cầu răng giả ra khỏi phế quản phổi. ThS. Nguyễn Lê Nhật Minh cho biết, đây là 1 kỹ thuật y khoa khó vì dị vật quá to và trơn nhẵn do răng giả làm bằng sứ. Tuy nhiên, với những trang thiết bị hiện có, Bệnh viện Phổi Trung ương đủ khả năng loại bỏ hoàn toàn các loại dị vật đường thở.
| Hai cha con được cùng một cụ ông cứu sống, sau 30 năm Sau khi cứu mạng một bé trai 8 tuổi khỏi bị chết đuối, một cụ ông 80 tuổi người Trung Quốc đã ngỡ ngàng khi ... |
| Cứu sống chú chó nuốt chong chóng dài nửa mét Một chú chó cưng đã may mắn thoát chết sau khi nuốt cán của một chiếc chong chóng đồ chơi có chiều dài lên tới ... |
| Kỹ thuật lọc máu hiện đại đang cứu sống nhiều bệnh nhân Theo GS. TS. Nguyễn Gia Bình, nhờ kỹ thuật lọc máu hiện đại đã có thêm khoảng 2.000 bệnh nhân (tương đương 20% số bệnh ... |
