| TIN LIÊN QUAN | |
| Nâng cao sức khỏe cộng đồng người Việt tại Czech | |
| "Ngẩn ngơ" vì phí khám bệnh | |
![]() |
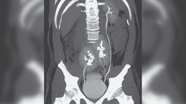
| Trường hợp hiếm gặp của một bệnh nhân ở Brazil(Nguồn: IFL Science) |
Bệnh nhân 38 tuổi này đã đến một bệnh viện ở thành phố São Paulo của Brazil khi nghi đau thắt lưng do trượt đĩa đệm. Kết quả chụp cắt lớp vi tính (CT) cho thấy, người đàn ông đang bị trượt đĩa đệm. Tuy nhiên, vấn đề này lại không được quan tâm bằng việc các bác sĩ bất ngờ phát hiện ra người đàn ông này có tới 3 quả thận. Trong đó, một quả thận trái xuất hiện bình thường và hai quả thận hợp nhất.
"Chúng tôi chưa bao giờ thấy bất cứ trường hợp nào như thế này. Chúng tôi lo ngại có vấn đề gì đó với sức khỏe của bệnh nhân”, tiến sĩ Renato Foresto, một trong những tác giả bài báo cho biết.
Nhưng kỳ lạ thay, tình trạng này dường như không ảnh hưởng đến sức khỏe của người đàn ông. Các xét nghiệm máu cho thấy, chức năng thận của bệnh nhân hoàn toàn bình thường, ngoại trừ đĩa đệm bị trượt, có vẻ mọi thứ vẫn ổn.
Thận của người đàn ông này được xác định là một bất thường bẩm sinh không phổ biến và có thể xảy ra trong quá trình phát triển phôi khi một cấu trúc giống như thận nguyên thủy tách ra làm hai.
Các bác sỹ nghiên cứu cho hay, những người gặp trường hợp này thường không có triệu chứng và họ có thể không được biết cho đến khi đi khám bệnh vì một lý do khác.
| Israel đạt 'bước đột phá' khi phân lập thành công kháng thể virus SARS-CoV-2 TGVN. Israel vừa tuyên bố đã phân lập thành công kháng thể của virus corona chủng mới SARS-CoV-2. Đây được xem là bước “đột phá ... |
| Thân cây được nhét kín tiền, người dân quan niệm ai lấy cắp sẽ mắc bệnh TGVN. Những thân cây được nhét kín các đồng xu mang theo ước nguyện của nhiều người và không ai dám lấy cắp bởi họ sợ ... |
| Chùm ảnh xúc động về những 'chiến binh' Covid-19 thoát 'cánh cửa tử thần' TGVN. Hơn 1 triệu người mắc Covid-19 trên toàn thế giới đã may mắn hồi phục sau một thời gian đương đầu với bệnh dịch, ... |
