![]() |
| Một trường hợp mắc Covid-19 trong cộng đồng tại Đà Nẵng được đưa đi điều trị, ngày 21/8. (Nguồn: TTXVN) |
Tình hình dịch Covid-19 tại Việt Nam
Kể từ đầu dịch đến nay Việt Nam có 707.436 ca nhiễm, đứng thứ 47/222 quốc gia và vùng lãnh thổ, trong khi với tỷ lệ số ca nhiễm/1 triệu dân, Việt Nam đứng thứ 156/222 quốc gia và vùng lãnh thổ (bình quân cứ 1 triệu người có 7.189 ca nhiễm).
Đợt dịch thứ 4 (từ ngày 27/4/2021 đến nay):
Số ca nhiễm mới ghi nhận trong nước là 702.972 ca, trong đó có 470.164 bệnh nhân đã được công bố khỏi bệnh.
Có 18/62 tỉnh, thành phố đã qua 14 ngày không ghi nhận trường hợp nhiễm mới trong nước: Bắc Kạn, Tuyên Quang, Lai Châu, Hòa Bình, Yên Bái, Hà Giang, Thái Nguyên, Điện Biên, Vĩnh Phúc, Hải Phòng, Hải Dương, Phú Thọ, Ninh Bình, Nam Định, Bắc Giang, Kon Tum, Thái Bình, Lạng Sơn.
Có 3 tỉnh, thành phố không có ca lây nhiễm thứ phát trên địa bàn trong 14 ngày qua: Quảng Ninh, Lào Cai, Hà Tĩnh.
Các địa phương ghi nhận số nhiễm tích lũy cao trong đợt dịch này: TP. Hồ Chí Minh (348.220), Bình Dương (183.314), Đồng Nai (41.432), Long An (30.850), Tiền Giang (13.375).
Tính từ 17h ngày 20/9 đến 17h ngày 21/9, trên Hệ thống Quốc gia quản lý ca bệnh Covid-19 ghi nhận 11.692 ca nhiễm mới, trong đó 5 ca nhập cảnh và 11.687 ca ghi nhận trong nước (tăng 3.019 ca so với ngày trước đó) tại 34 tỉnh, thành phố (có 6.835 ca trong cộng đồng).
Các địa phương ghi nhận số ca nhiễm giảm nhiều nhất so với ngày trước đó: Đồng Nai (-279), Tiền Giang (-106), Đắk Lắk (-103).
Các địa phương ghi nhận số ca nhiễm tăng cao nhất so với ngày trước đó: Bình Dương (2.199), TP. Hồ Chí Minh (1.350), Tây Ninh (27).
| Tin liên quan |
Trung bình số ca nhiễm mới trong nước ghi nhận trong 7 ngày qua: 10.330 ca/ngày.
Tình hình điều trị
Bệnh nhân được công bố khỏi bệnh trong ngày 21/9: 11.017 trường hợp, nâng tổng số ca được điều trị khỏi lên 475.343.
Theo thống kê sơ bộ, số bệnh nhân nặng đang điều trị là 5.133 ca, trong đó: Thở ô xy qua mặt nạ (3.210); thở ô xy dòng cao HFNC (892); thở máy không xâm lấn (160); thở máy xâm lấn (838); ECMO (33).
Trong ngày 21/9, tổng hợp số liệu tử vong do các Sở Y tế công bố trên cdc.kcb.vn ghi nhận 240 ca tử vong. Trung bình số tử vong ghi nhận trong 7 ngày qua: 229 ca.
Tổng số ca tử vong do Covid-19 tại Việt Nam tính đến nay là 17.545 ca, chiếm tỷ lệ 2,5% so với tổng số ca mắc và cao hơn 0,4 điểm phần trăm so với tỷ lệ tử vong do Covid-19 trên thế giới (2,1%).
Thuốc kháng virus molnupiravir bị bán trái phép
Tại buổi họp báo cung cấp thông tin về công tác phòng chống Covid-19 chiều 21/9, bác sĩ Nguyễn Văn Vĩnh Châu, Phó Giám đốc Sở Y tế TP. Hồ Chí Minh (TP HCM) cho biết đang có tình trạng rao bán gói thuốc C (thuốc kháng virus molnupiravir) trên mạng.
Ông Châu nói: "Cơ quan chức năng sẽ xử lý nghiêm nếu phát hiện trường hợp vi phạm. Khi có kết quả điều tra, công an sẽ công bố chính thức".
![]() |
| Thuốc kháng virus molnupiravir dành cho F0 Covid-19 điều trị tại nhà. (Nguồn: TN) |
Thuốc kháng virus molnupiravir là loại thuốc sử dụng cho F0 Covid-19 điều trị tại nhà, dưới sự kiểm soát đặc biệt của Bộ Y tế.
Trước khi phát gói thuốc C, nhân viên y tế giải thích chi tiết, rõ ràng các điều kiện cam kết với người sử dụng. Bệnh nhân phải ký vào văn bản đồng ý sử dụng thuốc, cơ sở y tế địa phương quản lý danh sách tất cả người uống, theo dõi mỗi ngày xem khi uống thuốc có vấn đề gì xảy ra hay không.
Tại một số địa bàn trọng điểm, nhóm các chuyên gia, bác sĩ của trường Đại học Y dược TP HCM sẽ theo dõi sát hơn. Bệnh nhân được lấy mẫu xét nghiệm vào ngày thứ 5, thứ 7 để theo dõi diễn tiến đáp ứng thuốc.
Theo nguyên tắc, gói thuốc C sử dụng tại nhà, cộng đồng hay bệnh viện dã chiến, đều phải được quản lý chặt chẽ. Nếu thuốc chưa sử dụng hết, bệnh nhân phải trả về cho Sở Y tế.
Bác sĩ Châu cho biết thêm, thời gian qua, khi bắt đầu cấp phát các gói thuốc A, B, C cho F0 tại nhà, Sở Y tế đã thành lập 8 đoàn kiểm tra để liên tục giám sát, kiểm tra các cơ sở y tế. Khi nhận một số thông tin có tình trạng gói thuốc C được rao bán, ngày 21/9, Sở Y tế đã gửi văn bản đến các cơ sở y tế để nhắc nhở quy định sử dụng và quản lý chặt gói thuốc này.
F0 được phát thuốc molnupiravir là người có triệu chứng nhẹ (sốt, ho khan, đau họng, nghẹt mũi, mệt mỏi, đau đầu, đau mỏi cơ, tê lưỡi), nhịp thở dưới 20 lần một phút, SpO2 trên 96% khi thở khí trời, 18-65 tuổi, không có dấu hiệu viêm phổi hay thiếu oxy.
Có 3 túi thuốc phát cho F0 tại nhà, tùy tình trạng triệu chứng.
Trong đó, gói thuốc A chứa thuốc thông dụng bao gồm thuốc hạ sốt và vitamin nâng cao thể trạng, gồm 20 viên paracetamol 500 mg, 20 viên vitamin C 500 mg (hoặc 20 viên vitamin tổng hợp). Gói thuốc A dành cho F0 triệu chứng nhẹ.
Gói thuốc B là những thuốc sử dụng hạn chế trong một số tình huống đặc biệt, bao gồm thuốc kháng viêm corticoid và thuốc kháng đông, gồm 36 viên dexamethason 0,5 mg, 3 viên rivaroxaban 10 mg (hoặc 6 viên apixaban 2,5 mg). Gói B dành cho F0 dấu hiệu khó thở, đông máu.
Túi thuốc C là thuốc kháng virus molnupiravir đang trong giai đoạn thử nghiệm, dành cho nhóm bệnh nhân có triệu chứng nhẹ để giảm tải lượng virus, qua đó giảm tỷ lệ nhập viện và nguy cơ giảm tử vong. Bộ Y tế đã phân bổ cho TP HCM 50.000 liều thuốc này, trong số 116.000 liều molnupiravir được tài trợ.
| Đại sứ quán Việt Nam tại Đức: Quyết liệt, kiên trì, bền bỉ tiếp xúc trong ngoại giao vaccine |
TP HCM kiến nghị Trung ương cấp 10 triệu bộ kit test nhanh
UBND TP HCM kiến nghị Thủ tướng chỉ đạo Bộ Y tế phân bổ 10 triệu bộ kit test nhanh và 1.000 người hỗ trợ công tác xét nghiệm diện rộng để đảm bảo tiến độ.
Đề nghị trên được Chủ tịch UBND TP HCM Phan Văn Mãi nêu trong văn bản gửi Thủ tướng hôm 20/9 nhằm tổ chức xét nghiệm Covid-19 trên diện rộng tại Thành phố từ nay đến cuối tháng 9. Thành phố cũng kiến nghị Thủ tướng chỉ đạo Bộ Quốc phòng huy động 4.000 cán bộ, chiến sĩ quân đội hỗ trợ xét nghiệm.
UBND thành phố cho biết, ngay sau khi nhận được chỉ đạo của Thủ tướng ngày 19/9 về tăng cường xét nghiệm diện rộng trên địa bàn thành phố và Công điện của Bộ Y tế, UBND thành phố đã làm việc với các cơ quan liên quan để thống nhất phương án tổ chức xét nghiệm diện rộng tới 30/9.
Trên cơ sở đó, Ban chỉ đạo phòng chống Covid-19 TP HCM đã ban hành văn bản khẩn số 3113 về việc tiếp tục xét nghiệm và một số biện pháp phòng, chống Covid-19.
Cụ thể, với vùng đỏ (nguy cơ rất cao) và vùng cam (nguy cơ cao) được xét nghiệm nhanh kháng nguyên đơn cho toàn bộ người dân, trừ các trường hợp F0 trong 14 ngày gần nhất và F0 đã xuất viện hoặc khỏi bệnh. Tần suất lấy mẫu lặp lại 2 ngày, liên tục 3 lần trong 7 ngày.
Tại vùng xanh và vàng (nguy cơ thấp) sẽ thực hiện xét nghiệm nhanh kháng nguyên đơn cho mẫu đại diện hộ gia đình. Trong đó, mẫu đại diện đợt sau phải khác với mẫu đại diện ở đợt trước, ưu tiên chọn người chưa tiêm vaccine, có tiếp xúc nhiều, không chọn người đại diện đã từng là F0.
Cách thực hiện là triển khai, hướng dẫn người dân tự lấy mẫu xét nghiệm, cán bộ y tế hoặc tình nguyện viên phát test nhanh tới từng hộ gia đình và giám sát xét nghiệm, ghi nhận kết quả. Cán bộ y tế hoặc tình nguyện viên chỉ thực hiện lấy mẫu xét nghiệm khi người dân không thể tự lấy mẫu.
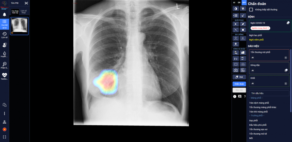
Hỗ trợ sàng lọc và tiên lượng điều trị Covid-19 bằng sản phẩm công nghệ có ứng dụng trí tuệ nhân tạo
Sản phẩm DrAid cho Covid-19 vừa được Hội đồng Khoa học Bộ Y tế nghiệm thu và kiến nghị nên sớm đưa vào sử dụng tại các bệnh viện trong giai đoạn Covid-19 đang tiếp tục lây lan như hiện nay.
![]() |
| DrAid giúp bác sĩ theo dõi mức độ tổn thương phổi ở một bệnh nhân F0 trên ảnh X-quang phổi. (Nguồn: LĐTĐ) |
Ngày 21/9, Công ty VinBrain (thuộc Tập đoàn Vingroup) công bố chính thức hoàn thiện một sản phẩm công nghệ hiện đại góp phần hữu hiệu trong công tác dự phòng và kiểm soát dịch Covid-19 có tên gọi DrAid cho Covid-19.
Sau hơn 1 năm nghiên cứu và phát triển, đây là sản phẩm ứng dụng trí tuệ nhân tạo (AI) có khả năng đưa ra lời giải toàn diện cho bài toán Covid-19 từ khâu hỗ trợ chẩn đoán tới việc tiên lượng điều trị.
Trong đợt dịch Covid-19 bùng phát lần thứ 4 tại Việt Nam, đội ngũ nhân lực của Công ty VinBrain đã trực tiếp đi thu thập dữ liệu từ 26 khu cách ly F1 tại tỉnh Bắc Giang và TP HCM, tại 10 bệnh viện dã chiến và trung tâm cấp cứu Covid-19 trên địa bàn TP HCM và tỉnh Hà Tĩnh.
Đến nay, sản phẩm DrAid cho Covid-19 đã tổng hợp được nguồn dữ liệu rất lớn về Covid-19, gồm hơn 21.400 hình ảnh X-quang ngực của bệnh nhân dương tính với SARS-CoV-2 và hơn 118.000 ảnh X-quang ngực tiêu chuẩn.
Hiện tại, sản phẩm DrAid cho Covid-19 hội tụ nhiều ưu điểm nổi bật như chủ động cảnh báo Covid-19 trong mọi tình huống. Khi được tích hợp vào các máy chụp X-quang hoặc hệ thống công nghệ thông tin sẵn có tại các bệnh viện và cơ sở y tế, DrAid cho Covid-19 sẽ hoạt động như một "màng lọc" virus SARS-CoV-2 đầu tiên trên diện rộng, giúp các bệnh viện và cơ sở y tế chủ động phát hiện người nghi nhiễm Covid-19.
Do đó, khi người dân đi kiểm tra sức khỏe được chỉ định chụp X-quang, ngay khi ảnh được đẩy lên hệ thống, DrAid cho Covid-19 sẽ lập tức cảnh báo nếu phát hiện các dấu hiệu nghi nhiễm Covid-19, qua đó giúp các bệnh viện hoặc cơ sở y tế nhanh chóng có phương án cách ly hạn chế lây nhiễm, cũng như kịp thời điều trị cho bệnh nhân.
Tại các khu cách ly tập trung hoặc khu có nguy cơ cao, DrAid cho Covid-19 giúp phân luồng bệnh nhân trước khi xét nghiệm PCR. Các F1 nghi nghiễm được khoanh vùng ngay và làm xét nghiệm PCR mẫu đơn, các trường hợp không nghi nhiễm thì làm PCR mẫu gộp và cách ly bình thường, nhờ vậy giúp tiết kiệm ngân sách Y tế.
Trong các bệnh viện thu dung điều trị Covid-19, DrAid cho Covid-19 giúp các bác sỹ đánh giá mức độ tổn thương phổi của bệnh nhân qua từng ngày, từ đó đưa ra các chỉ định điều trị kịp thời và hiệu quả.
DrAid cho Covid-19 hiện đang được sử dụng để hỗ trợ các bác sĩ tiên lượng điều trị cho bệnh nhân Covid-19 tại một số bệnh viện dã chiến tại TP HCM và Hà Tĩnh.
Giá trị hỗ trợ chẩn đoán và tiên lượng điều trị của DrAid cho Covid-19 cũng đã được chứng minh và sử dụng thực tiễn trên các xe hay máy chụp lưu động với liều tia X-quang chỉ bằng 1/4 máy chụp X-quang trước đây.
| Covid-19 ở Việt Nam tối 21/9: 11.692 ca mắc mới, hơn 11.000 người khỏi bệnh; triển khai mua vaccine Abdala của Cuba Theo Bản tin Covid-19 của Bộ Y tế, trong ngày, tổng hợp số liệu do các Sở Y tế công bố ghi nhận 240 ca ... |
| Bất động sản mới nhất: Dứt khoát không giảm giá dù ế hàng, thị trường Hà Nội lao dốc, Bình Định không còn căn hộ condotel Hàng tồn kho ‘chất đống’ nhưng giá chào bán vẫn tăng, thị trường địa ốc Hà Nội và TP. HCM lao dốc, Bình Định không ... |


