![]() |
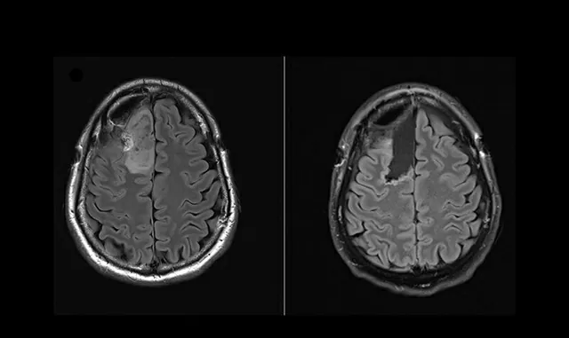
| Phương pháp điều trị u não mới. (Nguồn: wehi.edu.au) |
Loại ung thư được nghiên cứu là u thần kinh đệm cấp độ thấp (low-grade glioma - LGG), căn bệnh phát triển chậm nhưng gây ảnh hưởng nặng nề đến chất lượng sống của bệnh nhân, chủ yếu là những người trẻ ở độ tuổi sung sức.
| More from WVR |
LGG gắn liền với một đột biến gen đặc biệt có tên IDH, vốn khiến bệnh này khó chữa và từ lâu được xem là "không thể điều trị triệt để".
Tuy nhiên, các nhà nghiên cứu đã tìm ra giải pháp về một phương pháp điều trị mới, nhờ việc phát hiện ra các đột biến trong LGG và một quy trình xử lý đầy sáng tạo.
Trong nghiên cứu thử nghiệm, các nhà khoa học sử dụng Safusidenib - một loại thuốc uống có khả năng ức chế gen IDH1 bị đột biến.
Thông qua quan sát mẫu khối u trước và sau khi dùng thuốc, nhóm nghiên cứu từ Bệnh viện Hoàng gia Melbourne (RMH) và Trung tâm Ung thư Peter MacCallum trực tiếp chứng kiến sự thay đổi tích cực trên tế bào ung thư.
Kết quả đầy hứa hẹn này được đăng tải trên tạp chí Nature Medicine mới đây.
Bà Kate Drummond - Giám đốc khoa Ngoại thần kinh tại RMH, đồng thời là nghiên cứu viên chính của dự án trên - khẳng định: "Đây không chỉ là một bước ngoặt trong cách chúng ta kiểm chứng hiệu quả điều trị, mà còn mở ra cơ hội mới cho nhóm bệnh nhân vốn chịu nhiều thiệt thòi vì một căn bệnh hiểm nghèo".
Trong khi đó, bác sĩ Jim Whittle làm việc tại Trung tâm Ung thư Peter MacCallum - trưởng nhóm nghiên cứu trên - cho biết, các thử nghiệm kiểu lấy mẫu sinh thiết trước và sau điều trị để đo lường tác động vốn phổ biến ở nhiều loại ung thư khác, nhưng vì sự phức tạp của phẫu thuật thần kinh nên chưa từng áp dụng cho u não.
Nghiên cứu chứng minh rằng, BrainPOP là nền tảng an toàn, hiệu quả, bộc lộ tác động chi tiết của thuốc trong não, qua đó tạo điều kiện để gia đình bệnh nhân đưa ra quyết định điều trị cá nhân hóa.
| Hàn Quốc thành công với đột phá công nghệ AI trong cuộc chiến chống ung thư Thông tin từ báo Donga Ilbo ngày 17/8 cho biết, một bước tiến đột phá trong lĩnh vực y tế đã được ghi nhận tại ... |
| Rau họ cải giúp giảm nguy cơ ung thư đại tràng Một phân tích tổng hợp vừa công bố trên BMC Gastroenterology khẳng định, việc ăn nhiều rau họ cải – như bông cải xanh (súp ... |
| Hoa bằng lăng và công dụng chữa nhiều bệnh Cây hoa bằng lăng hiện nay được trồng rất nhiều ở Việt Nam với mục đích chính là để làm cảnh. Tuy nhiên, đối với ... |
| Khởi đầu như mơ, Mbappe vượt Kane Với phong độ ghi bàn ấn tượng tại La Liga 2025/26, Mbappe chính thức vượt qua Harry Kane trong top lập công tại 5 giải ... |
| HLV Kim triệu tập cầu thủ Việt kiều Thành Trung lên tuyển U23 Việt Nam Tiền vệ Việt kiều của CLB Ninh Bình Trần Thành Trung được HLV Kim Sang Sik triệu tập tham dự vòng loại U23 châu Á ... |
